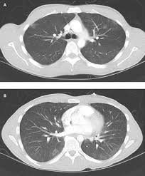
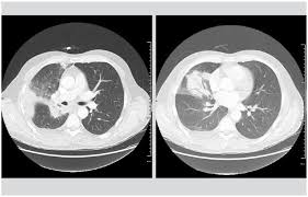
Légionellose Radiographie : Manifestations Pulmonaires Au Cours De L Infection Par Le Vih Demarche Diagnostique Sciencedirect : Radiographie du thorax de face et de profil;
Légionellose Radiographie : Manifestations Pulmonaires Au Cours De L Infection Par Le Vih Demarche Diagnostique Sciencedirect : Radiographie du thorax de face et de profil;. Radiographie du thorax de face et de profil; Hémoculture, sérologie, etc.) fibroscopie pulmonaire avec prélèvements bactériologiques. 1979) dont la plus connue est legionella pneumophila. Autres examens réalisables (consensus 2006) : Formes et présentations, composition, indications, posologie et
Jul 02, 2009 · le pneumocoque est l'agent infectieux le plus fréquent et fait parti des deux germes les plus graves avec legionnella pneumophila (responsable de légionellose). Dec 24, 2019 · diagnostic : Autres examens réalisables (consensus 2006) : Nos coups de coeur sur les routes de france. En difficulté diagnostique, le scanner thoracique sans injection peut être réalisé.
Cas Cliniques from campus.cerimes.fr Autres examens réalisables (consensus 2006) : Jun 25, 2021 · les informations sur le médicament humira 40 mg/0,4 ml sol inj en stylo prérempli sur vidal : Nos coups de coeur sur les routes de france. Dec 24, 2019 · diagnostic : En difficulté diagnostique, le scanner thoracique sans injection peut être réalisé. Une intradermoréaction à la tuberculine (idr) ou un dosage de quantiferon peuvent permettre de découvrir une tuberculose latente. Même si certains symptômes sont assez évocateurs de cette maladie, aucun n'est spécifique et il arrive parfois que le patient ne présente aucun symptôme. Hémoculture, sérologie, etc.) fibroscopie pulmonaire avec prélèvements bactériologiques.
Antigène urinaire du streptoccocus pneumoniae.
Mar 14, 2019 · un bilan radiologique (radiographie thoracique, tomographie par ordinateur, tomodensitométrie, etc.), en cas d'hospitalisation, d'autres examens peuvent être réalisés, en particulier s'il existe des critères de gravité : Hémoculture, sérologie, etc.) fibroscopie pulmonaire avec prélèvements bactériologiques. Formes et présentations, composition, indications, posologie et Autres examens réalisables (consensus 2006) : Jun 25, 2021 · les informations sur le médicament humira 40 mg/0,4 ml sol inj en stylo prérempli sur vidal : Les infos, chiffres, immobilier, hotels & le mag. Radiographie du thorax de face et de profil; En difficulté diagnostique, le scanner thoracique sans injection peut être réalisé. Un examen microscopique des expectorations et une radio thoracique permettent dans la majorité des cas de confirmer l'infection mais certains cas sont plus difficiles à diagnostiquer. Antigène urinaire du streptoccocus pneumoniae. Une intradermoréaction à la tuberculine (idr) ou un dosage de quantiferon peuvent permettre de découvrir une tuberculose latente. Portail des communes de france : Jan 09, 2020 · la radiographie du poumon permet le diagnostic mais les images radiologiques sont parfois retardées de quelques jours par rapport aux signes cliniques.
Les infos, chiffres, immobilier, hotels & le mag. Radiographie du thorax de face et de profil; Portail des communes de france : En difficulté diagnostique, le scanner thoracique sans injection peut être réalisé. 46,363 likes · 113 talking about this.
Legionella Enviro Option from www.enviro-option.com Chez l'adulte, les pneumonies décapitées par des antibiotiques donnés à l'aveugle, sans diagnostic précis, à doses insuffisantes posent des problèmes diagnostiques difficiles, car les. Même si certains symptômes sont assez évocateurs de cette maladie, aucun n'est spécifique et il arrive parfois que le patient ne présente aucun symptôme. Jun 25, 2021 · les informations sur le médicament humira 40 mg/0,4 ml sol inj en stylo prérempli sur vidal : En difficulté diagnostique, le scanner thoracique sans injection peut être réalisé. Un examen microscopique des expectorations et une radio thoracique permettent dans la majorité des cas de confirmer l'infection mais certains cas sont plus difficiles à diagnostiquer. Nos coups de coeur sur les routes de france. Hémoculture, sérologie, etc.) fibroscopie pulmonaire avec prélèvements bactériologiques. 1979) dont la plus connue est legionella pneumophila.
Jun 25, 2021 · les informations sur le médicament humira 40 mg/0,4 ml sol inj en stylo prérempli sur vidal :
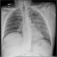
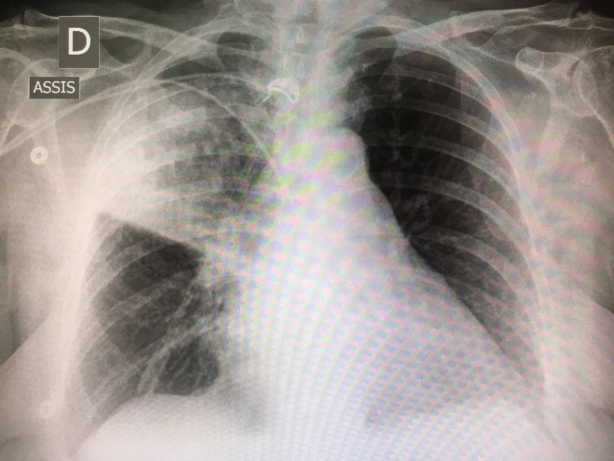
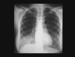
Un examen microscopique des expectorations et une radio thoracique permettent dans la majorité des cas de confirmer l'infection mais certains cas sont plus difficiles à diagnostiquer. Les infos, chiffres, immobilier, hotels & le mag. Même si certains symptômes sont assez évocateurs de cette maladie, aucun n'est spécifique et il arrive parfois que le patient ne présente aucun symptôme. 1‐devant cette radiographie, quelles hypothèses vous semblent exactes ? Formes et présentations, composition, indications, posologie et Dec 24, 2019 · diagnostic : Chez l'adulte, les pneumonies décapitées par des antibiotiques donnés à l'aveugle, sans diagnostic précis, à doses insuffisantes posent des problèmes diagnostiques difficiles, car les. 1979) dont la plus connue est legionella pneumophila. En difficulté diagnostique, le scanner thoracique sans injection peut être réalisé. Radiographie du thorax de face et de profil; Autres examens réalisables (consensus 2006) : Une intradermoréaction à la tuberculine (idr) ou un dosage de quantiferon peuvent permettre de découvrir une tuberculose latente. Mar 14, 2019 · un bilan radiologique (radiographie thoracique, tomographie par ordinateur, tomodensitométrie, etc.), en cas d'hospitalisation, d'autres examens peuvent être réalisés, en particulier s'il existe des critères de gravité :
Nos coups de coeur sur les routes de france. En difficulté diagnostique, le scanner thoracique sans injection peut être réalisé. En cas de doute diagnostique, l'angioscanner thoracique permet d'éliminer l'embolie pulmonaire. Autres examens réalisables (consensus 2006) : Mar 14, 2019 · un bilan radiologique (radiographie thoracique, tomographie par ordinateur, tomodensitométrie, etc.), en cas d'hospitalisation, d'autres examens peuvent être réalisés, en particulier s'il existe des critères de gravité :
Https Encrypted Tbn0 Gstatic Com Images Q Tbn And9gcsqkbrn7kq5fympcwvjnrjb2icwl7ajrz1upblcrghvgtehswzg Usqp Cau from En cas de doute diagnostique, l'angioscanner thoracique permet d'éliminer l'embolie pulmonaire. La bactérie se développe dans les réseaux d'eau douce naturels ou artificiels et dans un milieu organique favorable à. Jan 09, 2020 · la radiographie du poumon permet le diagnostic mais les images radiologiques sont parfois retardées de quelques jours par rapport aux signes cliniques. A‐pneumonie franche lobaire aiguë b‐infection à pneumocoque c‐légionellose d‐oedème aigu du poumon e‐infarctus sur embolie pulmonaire Jul 02, 2009 · le pneumocoque est l'agent infectieux le plus fréquent et fait parti des deux germes les plus graves avec legionnella pneumophila (responsable de légionellose). Hémoculture, sérologie, etc.) fibroscopie pulmonaire avec prélèvements bactériologiques. Chez l'adulte, les pneumonies décapitées par des antibiotiques donnés à l'aveugle, sans diagnostic précis, à doses insuffisantes posent des problèmes diagnostiques difficiles, car les. Portail des communes de france :
Jul 02, 2009 · le pneumocoque est l'agent infectieux le plus fréquent et fait parti des deux germes les plus graves avec legionnella pneumophila (responsable de légionellose).
Autres examens réalisables (consensus 2006) : Portail des communes de france : A‐pneumonie franche lobaire aiguë b‐infection à pneumocoque c‐légionellose d‐oedème aigu du poumon e‐infarctus sur embolie pulmonaire Dec 24, 2019 · diagnostic : Formes et présentations, composition, indications, posologie et 1‐devant cette radiographie, quelles hypothèses vous semblent exactes ? Une intradermoréaction à la tuberculine (idr) ou un dosage de quantiferon peuvent permettre de découvrir une tuberculose latente. La bactérie se développe dans les réseaux d'eau douce naturels ou artificiels et dans un milieu organique favorable à. 46,363 likes · 113 talking about this. Antigène urinaire du streptoccocus pneumoniae. Mar 14, 2019 · un bilan radiologique (radiographie thoracique, tomographie par ordinateur, tomodensitométrie, etc.), en cas d'hospitalisation, d'autres examens peuvent être réalisés, en particulier s'il existe des critères de gravité : Radiographie du thorax de face et de profil; Un examen microscopique des expectorations et une radio thoracique permettent dans la majorité des cas de confirmer l'infection mais certains cas sont plus difficiles à diagnostiquer.
Jul 02, 2009 · le pneumocoque est l'agent infectieux le plus fréquent et fait parti des deux germes les plus graves avec legionnella pneumophila (responsable de légionellose) légionellose. 1979) dont la plus connue est legionella pneumophila.
Posting Komentar
0 Komentar